症例紹介
ジルコニアインレー/ジルコニアクラウン(白い歯)治療
40代 女性 / 2025年9月22日 公開

治療前

治療後
患者さんは40代の女性です。噛みしめ・食いしばり傾向の強い患者さんで保険の CR (コンポジットレジン)で治療した右下の奥歯の詰めものが欠けてしまいご来院されました。この CR の隙間から既に虫歯が進行していたため、虫歯治療後にジルコニアインレーで治療しました。その後保険で治療した金属の被せ物も食いしばりで脱離してしまったとご来院され、こちらも同様にジルコニアクラウンで治療しました。これらジルコニアによる白い歯の治療は自由診療となります。
STEP1 ご来院時

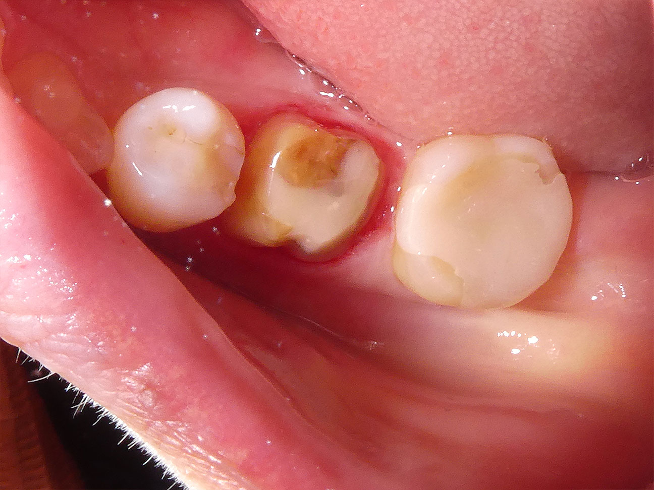
右下の奥歯を保険の保険の CR (コンポジットレジン)で治療されていましたが、このプラスチックの詰めものが詰めものが欠けてしまいご来院されました。欠けたすき間から虫歯菌が入ることで、このように詰めものの下で虫歯が進行していました。写真でも歯の後側(遠心)方向の欠けと隙間がご覧頂けると思います。
STEP2 現状と治療計画

保険の金属で治療した奥歯が複数ありますが、今回はCR (コンポジットレジン)で治療されていた右下7番をジルコニアインレーで治療。その3ヶ月後、金属の被せ物も食いしばりで脱離したことから、右下6番もジルコニアクラウンによる補綴治療を致しました。
STEP3 ジルコニアインレーの制作

保険で治療していたCR (コンポジットレジン)の詰めものを除去し、窩の清掃と形成ののち印象。ジルコニアインレーを技工所で制作し完成しました。歯磨きのし難い奥歯なので清掃性には特に留意し、臨在歯との隣接面を意識し外形をつくっています。この配慮が結果として作り替えることになった、右下6番もジルコニアクラウンの制作時にも活きることとになりました。
STEP4 完成したジルコニアインレー

印象から約10日で完成したジルコニアインレーをお口に接着し治療を終えました。このように自然な白さで審美性も高く、ご自分の歯との隙間もなくピッタリと接着されていることがお分かり頂けると思います。複雑な奥歯の形にピッタリと収まるように、歯科技工士と連携をして、このように精密な詰めものを作成します。
STEP5 保険の銀歯の脱離

奥歯の治療から約3ヶ月後に、保険で治療した金属の被せ物が取れてしまったということでご来院になりました。ご覧のとおり以前あった保険の銀歯がなくなっています。最初のプラスチックの詰めものをジルコニアインレーで修復する際にもお伝えしましたが、噛みしめ・食いしばり傾向の強い患者さんのため、特に力の大きく加わる奥歯はの治療はどうしても保険治療の範囲では限界があります。
STEP6 形成と圧排

齲蝕検知液を用いて丁寧に時間をかけ虫歯を取ります。その後に被せ物を載せる土台をつくります。そのため歯肉圧排をして印象を採得し、圧排糸を除去した後の写真です。歯と歯茎の隙間がしっかりとでていることが分かると思います。
STEP7 完成したジルコニアクラウン

印象から約10日で完成したジルコニアクラウンをお口に接着し治療を終えました。このように自然な白さで審美性も高く、ご自分の歯との隙間もなくピッタリと接着されていることがお分かり頂けると思います。また先行して治療していたジルコニアインレーと色の調和もとれており、歯と歯の間の隙間(コンタクト)も清掃性を維持できるようお作りしました。
やみくもに自費の治療をお薦めするような事は、大塚歯科クリニックでは致しません。天然歯(ご自分の歯)を最大限大切に残すことを第一にリスクと費用をお伝えしながら、患者さんのご希望とお考えを考慮して機能性と審美性にご満足頂ける治療を選択しました。定期検診を通して今後も患者さんを見守って参ります。
治療費
治療は基本保険診療となり、ご希望により自由診療も選択頂けます。価格と税率は治療当時のものとなります
※治療費は全て税込の価格となっております。
印象採得 |
2 |
¥24,200 |
ジルコニアインレー |
1 |
¥165,000 |
ジルコニアクラウン |
1 |
¥110,000 |
小計 | ¥299,200 |
治療費については治療費一覧のページもご覧ください。
治療担当
医師:大塚 武仁
治療リスクについて
治療中に一時的な咬合痛や冷温水痛、若干の歯肉の腫れ、発赤などを生じることがあります。また仮歯の時期には仮歯の脱離や破損の可能性、舌感などに違和感を感じることがありますが、本歯に移行するまでに通常消失します。
※すべて症例による違いや個人差があります。
掲載写真について
すべての写真データは大塚歯科クリニックによる臨床記録です。見た目を変える画像加工は行っておりません。またメーカーや学会誌からの転用などもございません。掲載写真は実際に治療を行った患者さんの同意を得て、治療を検討する方への情報提供と啓発を目的として公開しています。
- 新小岩の歯医者 大塚歯科クリニック
- 症例紹介
- ジルコニアインレー/ジルコニアクラウン(白い歯)治療